Impeccable Quality

Teeth Whitening

Brighten your smile with our professional teeth whitening treatment. We safely remove stains and discoloration to give you noticeably whiter teeth.

Tooth Extraction

Safe and gentle tooth removal performed by experienced professionals. We minimize discomfort and provide proper aftercare guidance to ensure a recovery.

Dental Implants

Restore missing teeth with durable, natural-looking dental implants. Designed to function like real teeth, implants improve your smile.

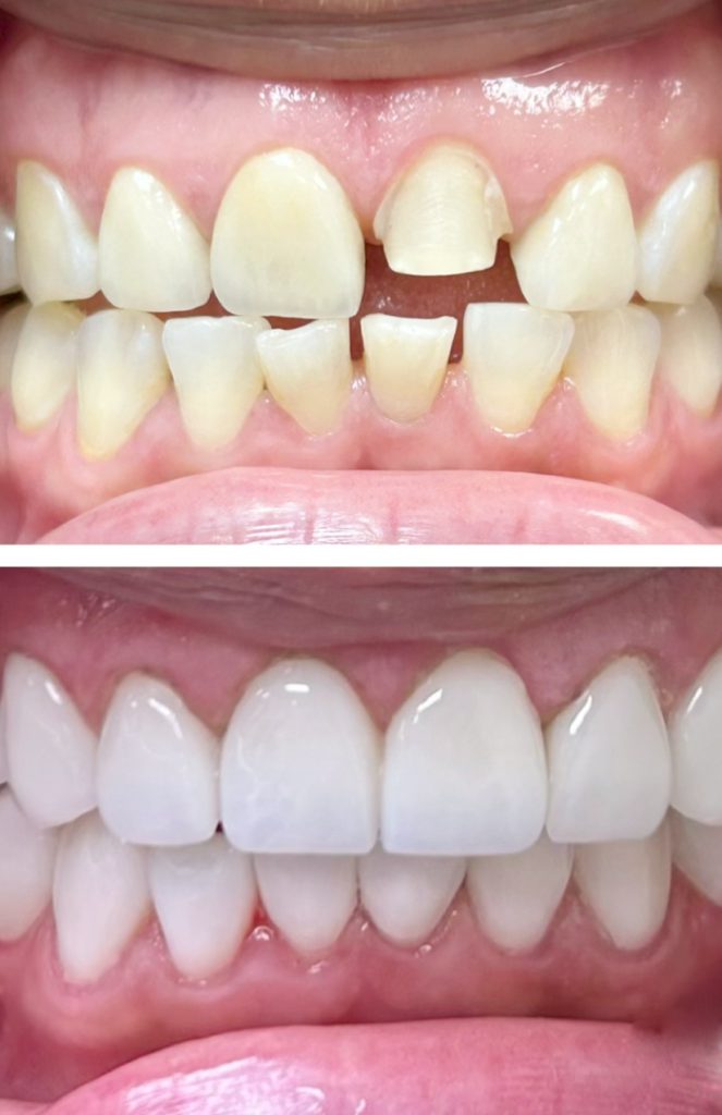
Dental Crown

Protect and strengthen damaged teeth with custom-made dental crowns. Our crowns are designed to match your natural teeth for a seamless result.

Dental Filling

Repair cavities and restore tooth structure with high-quality dental fillings. Our treatments are quick and designed to blend naturally with your teeth.

Teeth Braces

Straighten your teeth and improve your bite with modern orthodontic solutions. We offer comfortable and effective options to help you achieve a perfect smile.

Welcome

Your smile starts here

Experience a clean, modern environment designed with your comfort in mind. We combine advanced technology to deliver exceptional dental care.

Transformation

Real results, real confidence

See the difference our treatments can make. From damaged or misaligned teeth to a clean, bright smile, we help patients achieve natural and lasting results.

Have any questions?

Feel free to contact us anytime - (305) 446-1956